Your Symptoms Are Often the Result, Not the Problem

Most people are taught that a symptom, such as a migraine or back pain, is the problem itself. In our practice, we view these as Secondary Conditions: consequences or "warning lights" signaling that something more significant is occurring beneath the surface. By only treating the symptom, you're merely cutting the heads off dandelions while leaving the roots to grow back.

Cutting dandelions while the roots are left representing how chasing symptoms will only lead to temporary results.
Car dash with check engine light representing how secondary conditions indicate underlying problem.

Understanding the Structural Abnormality

The underlying cause of many Secondary Conditions is often a Structural Abnormality. While conventional chiropractic care focuses on manipulating the spine for temporary relief, Precision Structural Correction is dedicated to detecting and correcting these specific shifts in the human frame. A Structural Abnormality is a measurable deviation from what is established as "Normal" for human spinal structure.

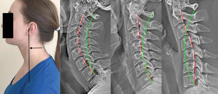
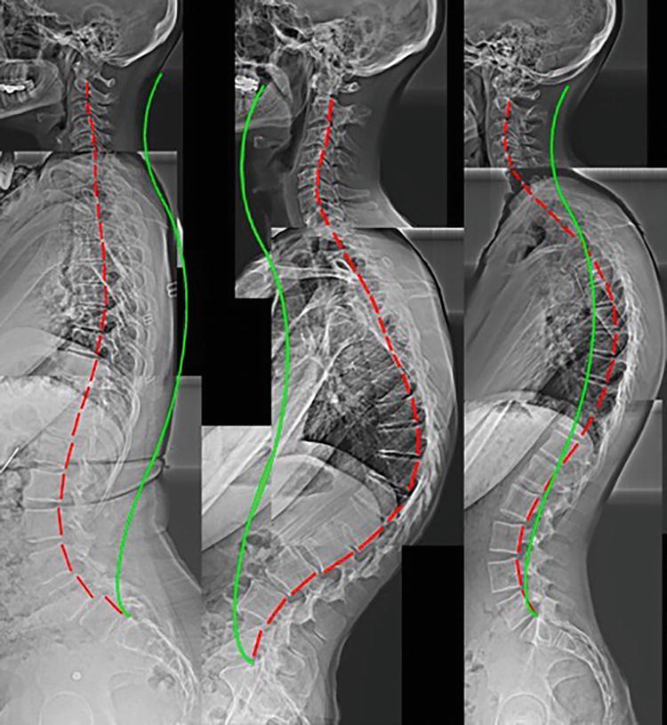
Various examples of structural abnormalities as seen on digital radiography (x-ray), green line represents normal alignment, red line represents patient's alignment
Various examples of structural abnormalities associated with left trunk list as seen on digital radiography (x-ray), green line represents normal alignment, red line represents patient's alignment.
Various examples of structural abnormalities associated with forward head posture as seen on digital radiography (x-ray), green line represents normal alignment, red line represents patient's alignment.

Images demonstrating Structural Abnormalities in red with green line showing normal spinal reference position for more explanation please read from source:
E. Harrison, D. and P. A. Oakley (2022). An Introduction to Chiropractic BioPhysics® (CBP®) Technique: A Full Spine Rehabilitation Approach to Reducing Spine Deformities, IntechOpen.

The "Garden Hose" Effect

To understand how a Structural Abnormality impacts your health, think of your nervous system as a garden hose. If a heavy truck is parked on that hose, the water flow is obstructed, and the grass at the end begins to wilt and burn. In your body, a Structural Abnormality acts like that truck, creating a neurological obstruction that prevents your nervous system from properly regulating your body's unconscious functions (everything from digestion to immune response to pain signaling).

Garden hose with obstruction from truck tire illustrating how structural abnormalities obstruct nerves and disrupt body function
Garden hose with no obstruction illustrating how precision structural correction removes obstructed nerves and normalizes body function
Left demonstrates normal electrical impulse from no neurologic obstruction (Normal Head Posture), image on the right demonstrates irregular chaotic impulse associated with neurologic obstruction (Forward Head Posture).

Image on the left demonstrates the smooth normal electrical impulse from no neurological obstruction (Normal Head Posture), image on the right demonstrates irregular chaotic impulse associated with neurologic obstruction (Forward Head Posture).
Moustafa, I. M., Diab, A. A. M., & Harrison, D. E. (2023). Does Forward Head Posture Influence Somatosensory Evoked Potentials and Somatosensory Processing in Asymptomatic Young Adults? Journal of Clinical Medicine, 12(9), 3217. https://doi.org/10.3390/jcm12093217

Is Your Foundation Level?

Consider the structural integrity of a house. If the foundation sinks or shifts by even a few inches, you'll eventually see cracks in the drywall, windows that won't open smoothly, and floors that creak. You could patch the drywall and oil the windows, treating the Secondary Conditions, but those issues will inevitably return because the foundation shift was never addressed. Our goal is to inspect and correct the foundation of your health, not just patch the cracks.

Cracked house foundation representing how structural abnormalities in the spine cause secondary health conditions.
Corrected house foundation representing how precision structural correction improves health conditions
Left shows leg length inequality with structural abnormality, middle shows corrected leg length with lift and persistent structural abnormality, right shows precision structural correction

Image on the left shows a previously undetected anatomical leg length inequality with subsequent rightward torso listing structural abnormality. Image in the middle shows improvement with a 21 mm lift addressing the leg length inequality while the structural abnormality persists. Image on the right shows an excellent structural correction following care. For more information on this case please read:
Woodham T, Fortner M, Oakley P, Harrison D. REDUCING ‘CROOKED’ LATERAL SPINE SUBLUXATION (GLOBAL CORONAL IMBALANCE) IN 5 PATIENTS WITH DEGENERATIVE DISC DISEASE IN THEIR 6TH AND 7TH DECADE OF LIFE: A CASE SERIES INVOLVING CHIROPRACTIC BIOPHYSICS© TECHNIQUE. JCC. 2021;4(1):128-137.

To See Is to Know

In every field of health, there is a "Normal", such as 98.6°F for body temperature or 120/80 for blood pressure. To recognize what is wrong, you must first understand what is right. During our New Patient Examination, we use multiple Objective Indicators, including Precise Structural Radiographs, to uncover the presence or absence of a Structural Abnormality. This objective approach ensures our findings are based on scientific measurement rather than guesswork.

State-of-the-art precision structural radiographs

Discover If You're a Candidate for Care

A Structural Abnormality will not correct itself. If you're ready to stop chasing symptoms and begin the process of Precision Structural Correction, we invite you to schedule a complimentary consultation to determine if your Secondary Conditions are being caused by an underlying Structural Abnormality.

Structural Chiropractic Pittsburgh / Bethel Park / Upper St. Clair,, PA Logo