Join us at our Grand Opening, Friday May 15, 2026!

  • Ribbon Cutting at 2 pm with South West Regional Chamber of Commerce

  • Open House from 1 pm - 6 pm

  • Giveaways and activities from 1 pm - 6 pm

About us

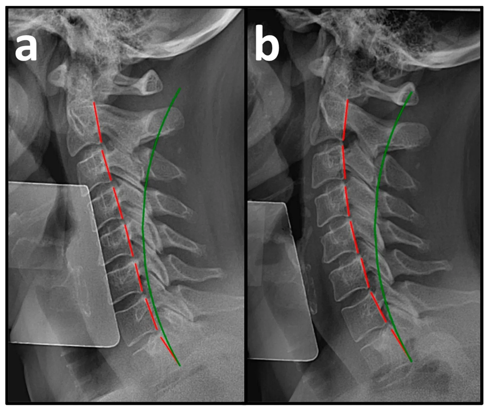
Precision Structural Correction:
Our Unique Approach to Spinal Health

Most people seek chiropractic care for pain relief. But what if your pain, numbness, headaches, or other symptoms are actually secondary conditions – warning signs of an underlying structural problem?

At Structural Chiropractic, we don't just treat symptoms. We identify and correct the Structural Abnormalities that cause them.

A Different Approach for Lasting Results

While conventional chiropractors focus on temporary relief through:

• Increasing range of motion
• Reducing muscle spasm
• Decreasing pain

We focus on Precision Structural Correction (PSC) – detecting and correcting the structural shifts in your spine that create problems throughout your body.

Is Our Care Right for You?

If you're experiencing any of these secondary conditions, you may have an underlying Structural Abnormality:

✓ Chronic pain that returns despite treatment
✓ Numbness or tingling in arms/legs
✓ Persistent headaches or migraines
✓ Limited mobility or stiffness
✓ Postural changes
✓ Balance issues
✓ And many other seemingly unrelated symptoms

Your Next Step

Rather than continuing to chase symptoms, discover if structural abnormalities are the root cause of your health concerns by contacting our practice for a complimentary consultation.

At Structural Chiropractic a consultation is always a conversation, not a commitment.

Structural Chiropractic Pittsburgh / Bethel Park / Upper St. Clair,, PA Logo

Structure Dictates Function

When a house's foundation moves out of proper position, the consequences throughout the structure can be severe. Wall fractures, squeaking floors, and stuck windows are merely signs pointing to the real problem: the foundation has shifted from where it should be.

Your spine works much the same way. When spinal alignment is compromised, it can trigger numerous health issues throughout your body. Treating only the symptoms without addressing Structural Abnormalities won't resolve the root problem and could allow progressive deterioration of your spine over time.

Follow us on Instagram